PREVENCIÓN E HIGIENE
Es recomendable realizar una fase higiénica y control de la salud oral al menos cada seis meses. Y es que una profilaxis o limpieza dental de manos de un profesional, garantiza la reducción de un alto porcentaje de bacterias causantes de caries o enfermedades periodontales.
Una fase higiénica dental, tiene una duración de 30 minutos a 1 hora, de acuerdo al caso. El despejar los dientes de todas las bacterias acumuladas, permite evaluar de manera detallada la salud bucal, incluyendo: dientes, tejidos blandos y duros de la boca (paladar, lengua, encías); con el fin de detectar indicios de enfermedades y poderlas tratar a tiempo.
BLANQUEAMIENTO
Lucir una sonrisa bonita es sumamente importante, los dientes muy pigmentados o manchados pueden traer consecuencias a tu autoestima o simplemente complejos a nivel social.
A través del Blanqueamiento Dental, recuperamos el tono natural de tus dientes, que se ha perdido por el consumo de alimentos con alto grado de colorante, cigarrillo o poca higiene oral, con un profesional calificado para este tipo de procedimiento y lo ideal es realizarlo en pacientes con dientes sanos.


ORTODONCIA
La Ortodoncia es una de las especialidades odontológicas que se encarga de corregir las alteraciones de posición de las estructuras dentarias.
Somos expertos en brackets convencionales metálicos de última tecnología, brackets cerámicos para un acabado más estético y también ortodoncia invisible y en autoligado; Para orientarte en cuál de estas opciones sería la más indicada para tí, se realiza una valoración detallada de tu condición actual y apoyándonos en exámenes de diagnóstico se determina la mejor opción de tratamiento.

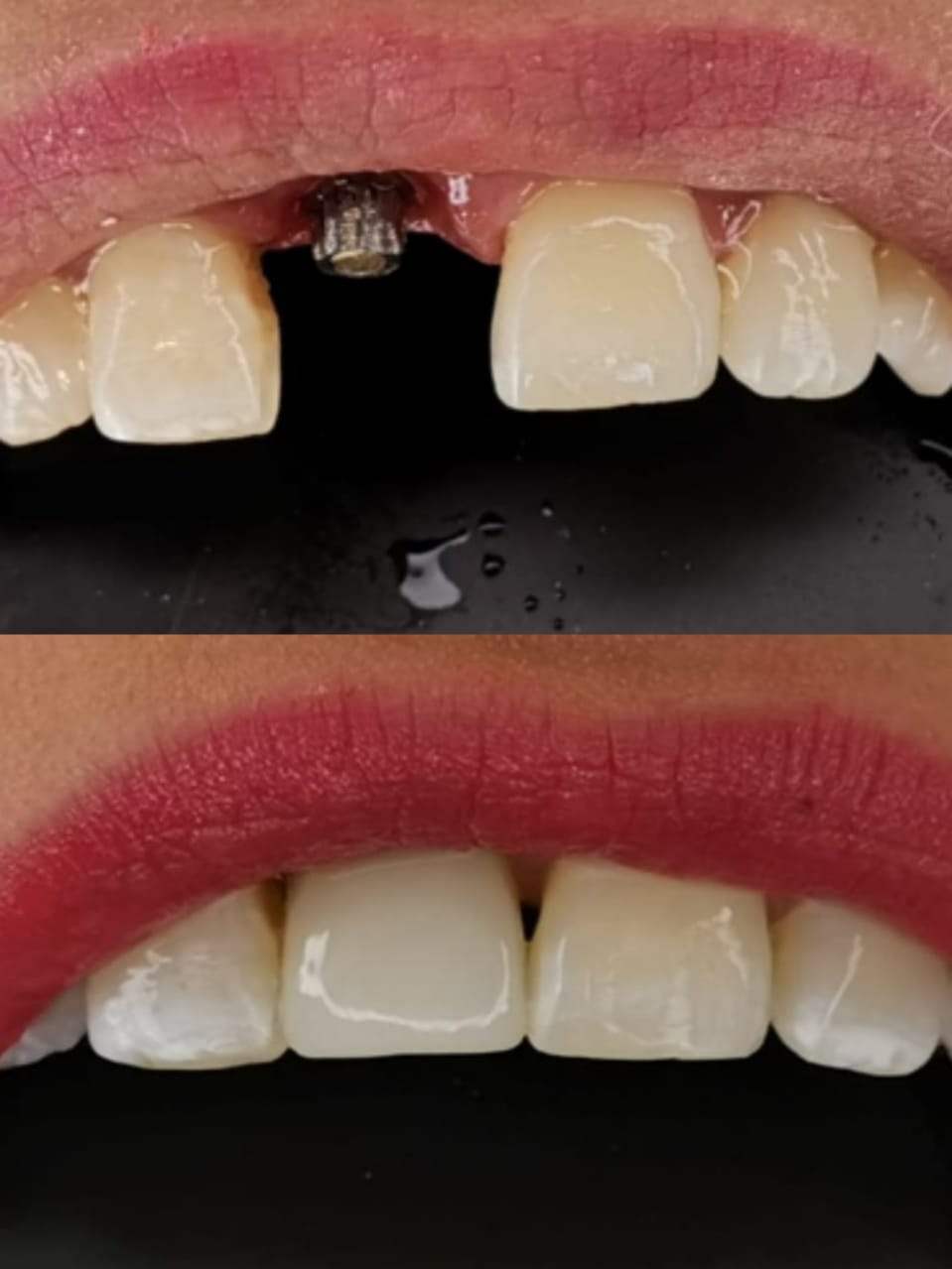
IMPLANTES DENTALES
La Implantología oral es la rama de la odontología que se ocupa de reemplazar los dientes perdidos por distintas causas, valiéndose de implantes dentales colocados en el hueso maxilar o mandibular.
Un implante dental es básicamente un tornillo de titanio puro que tiene la facultad de integrarse perfectamente a los componentes óseos y se recubre de una corona que simula la apariencia del diente, devolviendo la estética a la sonrisa.
La opción de los implantes permite la restitución de las funciones masticatorias, fonéticas y estéticas, recuperando la correcta estructura y salud bucal.
REHABILITACIÓN ORAL
Cuando en medio del plan de tratamiento es necesario realizar la suplantación o rehabilitación de piezas dentales perdidas, podemos manejar diversas opciones para restaurar la sonrisa: mediante prótesis fijas apoyadas en dientes o implantes, coronas individuales, prótesis removibles, prótesis totales, entre otras opciones.
Para llevar a cabo esta misión, contamos con especialistas calificados con los últimos avances tecnológicos, garantizado así la calidad en nuestros tratamientos.

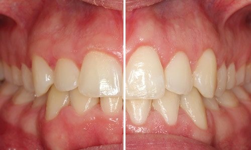
RECORTE DE ENCIAS
Es uno de los procedimientos odontológicos que se usa para corregir la simetría de los dientes. Se realiza de manera ambulatoria, aplicando anestesia local, no amerita incapacidad y puede ser manejado con analgésicos de primera elección.


